At Refine Surgery, our skilled surgeon, Dr. Lucas Bryant, specializes in eyelid surgery in Nashville, offering both upper and lower blepharoplasty to rejuvenate your eyes and restore a refreshed, natural appearance. Whether you're seeking to improve vision or eliminate sagging skin, our customized treatments provide lasting, beautiful results with minimal downtime.
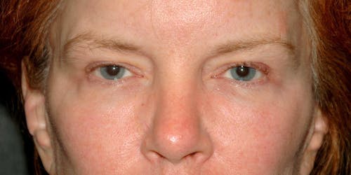
What is blepharoplasty?
Blepharoplasty, also known as eyelid surgery, is a procedure designed to improve the appearance of the upper and/or lower eyelids. It can address drooping eyelids, puffiness, and excess skin or fat to provide a more youthful and refreshed look.
How long does recovery take after blepharoplasty?
Recovery time varies, but most patients can expect to resume normal activities within 7 to 10 days. Swelling and bruising typically subside within two weeks, with full recovery taking about 6 to 8 weeks.
Am I a good candidate for blepharoplasty?
Ideal candidates for blepharoplasty are generally healthy individuals with realistic expectations. It’s especially beneficial for those experiencing droopy eyelids, puffiness, or vision problems due to excess skin.
Will blepharoplasty leave scars?
While any surgery carries the potential for scarring, blepharoplasty is typically performed with minimal scarring. Incisions are made in natural creases of the eyelids, so scars are often hidden or barely visible once healed.
How long do the results of blepharoplasty last?
The results of blepharoplasty can last for many years, with some patients enjoying a youthful appearance for a decade or more. However, natural aging will continue, and the skin around the eyes may gradually change over time.
















